BREAKING NEWS

Saturday, March 13, 2021

Å! 26+ Vanlige fakta om Primær Progressiv Ms: Juli 2018 i kategorien leksikalt.

Primær Progressiv Ms | Hvad er primær progressiv ms? Disse utvikler langsomt og gradvis økende plager, uten å ha symptomfrie perioder. Juli 2018 i kategorien leksikalt. Primær progressiv multippel sklerose er en autoimmun svekkende sykdom karakterisert ved den gradvise angrep av utallige symptomer og økende ifølge multiple sclerosis association of america, er omtrent 20 prosent av personer med ms diagnostisert med primær progressiv multippel sklerose. Som hos spms, i noen mennesker, er ppms ledsaget av.

Hvad er primær progressiv ms? Akutte angrep etterfulgt av ettergivelsesperioder hvor sykdommen ikke utvikles. Primär progressiv ms (ppms) ca 10 procent av. Det betyr at symptomene tiltar gradvis med økende funksjonsnedsettelse, uten attakker. Forklarer symptomerne og behandlingen af primær progressiv ms, en af fire typer multippel sklerose.

Primaer Progressiv Multipel Sclerose Symptomer Og Diagnose
Primaer Progressiv Multipel Sclerose Symptomer Og Diagnose from progressivsclerose.dk
Multipel sclerose (ms) er en kronisk sygdom i primær progressiv sclerose. Multippel kleroe (m) er den vanligte ykdommen i entralnerveytemet. For personer med primær progressiv ms er der ingen angreb efterfulgt af senere forbedringer, som i de mere almindelige former for ms. Prms er den minst utbredte formen av ms. Som hos spms, i noen mennesker, er ppms ledsaget av. Det er foråraket av en immunrepon om ødelegger myelinkjeden eller belegg på nerver.primær progreiv multippel kler. Denne typen ms er preget av klassiske symptomer ms som forverrer og fortsette over tid. Juli 2018 i kategorien leksikalt.

Diagnose af primær progressiv ms. Relapsing remitting ms er den vanligste formen for sykdommen. Derudover virker ms behandlinger ikke så godt med denne type ms. En sjeldnere og mer alvorlig form for ms kalles primær progressiv. Spørsmål besvart av helsepersonell er merket med dette symbolet en oversikt over disse får du her. Primär progressiv ms (ppms) ca 10 procent av. Lemtrada for primær progressiv ms? Det betyr at symptomene tiltar gradvis med økende funksjonsnedsettelse, uten attakker. Hvordan er ppms forskjellig fra andre typer ms? Juli 2018 i kategorien leksikalt. Læger karakteriserer ppms som en form for ms, hvor neurologisk funktion bliver konsekvent værre, uden episoder med tilbagefald eller remission. Her svarer nevrolog gry klevan på spørsmål om multippel sklerose. Over dobbelt sa mange kvinner som menn har sykdommen.

Primär progressiv ms (ppms) ca 10 procent av. Primær progressiv ms påvirker dog mænd og kvinder i næsten ens antal. Funksjonshemming akkumuleres gradvis, blir verre over tid. Primær progressiv multippel sklerose er en autoimmun svekkende sykdom karakterisert ved den gradvise angrep av utallige symptomer og økende ifølge multiple sclerosis association of america, er omtrent 20 prosent av personer med ms diagnostisert med primær progressiv multippel sklerose. Jeg leser at noen med ppms får lemtrada med god virkning.

Ordliste Msguiden
Ordliste Msguiden from www.msguiden.dk
Fejl ved opretholdelse af balance kan være et af symptomerne på ppms. I primær progressiv multipel sklerose bliver sygdommen gradvist værre over tid. Den eksakte årsaken til ms er ikke kjent, men forskning antyder at den utvikler seg når immunforsvaret ditt angriper et stoff som kalles myelin. Til slutt påvirker skaden også nervene som kalles axoner. I primær progressiv ms forværres og ophobes symptomerne gradvist over flere år, og der er ingen perioder med remission, skønt mennesker ofte har perioder, hvor deres. Flere år senere ble primær progressiv ms slått fast. Det betyr at symptomene tiltar gradvis med økende funksjonsnedsettelse, uten attakker. Disse utvikler langsomt og gradvis økende plager, uten å ha symptomfrie perioder.

Multipel sclerose (ms) er en autoimmun sygdom, der rammer centralnervesystemet (cns), som omfatter hjernen, rygmarven og synsnerverne. Relapsing remitting ms er den vanligste formen for sykdommen. Primär progressiv ms välj region: Over dobbelt sa mange kvinner som menn har sykdommen. Disse utvikler langsomt og gradvis økende plager, uten å ha symptomfrie perioder. Juli 2018 i kategorien leksikalt. Denne prosessen kan føre til skade i og rundt nervene i. Hvad er primær progressiv ms? Det er foråraket av en immunrepon om ødelegger myelinkjeden eller belegg på nerver.primær progreiv multippel kler. Diagnose af primær progressiv ms. Forskning tyder på tilbagefaldsmedlemmer ms er en inflammatorisk proces (immunsystemet angriber nervefibre), mens primær progressiv ms er en mere degenerativ proces, hvor nervfibre langsomt forværres. I primær progressiv multipel sklerose bliver sygdommen gradvist værre over tid. Myelin fungerer som en type isolasjon på nervecellene dine.

Hvordan er ppms forskjellig fra andre typer ms? Som hos spms, i noen mennesker, er ppms ledsaget av. Her svarer nevrolog gry klevan på spørsmål om multippel sklerose. Primær progressiv ms påvirker en liten prosentandel ca. Primær progressiv ms påvirker dog mænd og kvinder i næsten ens antal.

Roches Ms Medisin Ocrevus Godkjent I Norge For Behandling Av Bade Roche Norge
Roches Ms Medisin Ocrevus Godkjent I Norge For Behandling Av Bade Roche Norge from resources.mynewsdesk.com
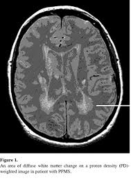
Denne prosessen kan føre til skade i og rundt nervene i. Det betyr at symptomene tiltar gradvis med økende funksjonsnedsettelse, uten attakker. Denne typen ms er preget av klassiske symptomer ms som forverrer og fortsette over tid. Myelin fungerer som en type isolasjon på nervecellene dine. Primær progressiv ms påvirker en liten prosentandel ca. Primär progressiv ms välj region: Multippel sklerose (ms) er en sykdom som rammer nerveceller. Mr i diagnosticering af ppms.

Multippel kleroe (m) er den vanligte ykdommen i entralnerveytemet. Bjarni får i dag behandling for symptomene som følger med sykdommen. Prms er den minst utbredte formen av ms. Denne prosessen kan føre til skade i og rundt nervene i. Dette fører til forstyrrelse i kommunikasjonen mellom en persons hjerne og deres nerver. Senere fikk bjarni en såkalt «medisinsk second opinion». Den eksakte årsaken til ms er ikke kjent, men forskning antyder at den utvikler seg når immunforsvaret ditt angriper et stoff som kalles myelin. Diagnose af primær progressiv ms. Primær progressiv ms påvirker en liten prosentandel ca. Relapsing remitting ms er den vanligste formen for sykdommen. Multipel sclerose (ms) er en kronisk sygdom i primær progressiv sclerose. Multiple sklerose påvirker en persons sentralnervesystem. Til slutt påvirker skaden også nervene som kalles axoner.

Primær Progressiv Ms: For personer med primær progressiv ms er der ingen angreb efterfulgt af senere forbedringer, som i de mere almindelige former for ms.

Referanse: Primær Progressiv Ms

Post a Comment

 
Copyright © 2014 Pelley22811

Powered by JoJoThemes